.
Мы на карте
г. Минск, ул. Нёманская, 4
г. Минск, ул. Казимировская, 21
г. Минск, ул. Дзержинского, 19
Проконсультируем по услугам, ценам и подберём врача
Пациент 57 лет, с полным отсутствием зубов на верхней челюсти
Лечение проводил: Шейченко Роман Евгеньевич
Пациентка 22 лет с генерализованной скученностью зубов и наличием промежутков
Лечение проводил: Михалевич Александра Сергеевна
Пациентка с полным отсутствием зубов на верхней челюсти
Лечение проводили: Иванов Алексей Петрович, Шейченко Роман Евгеньевич
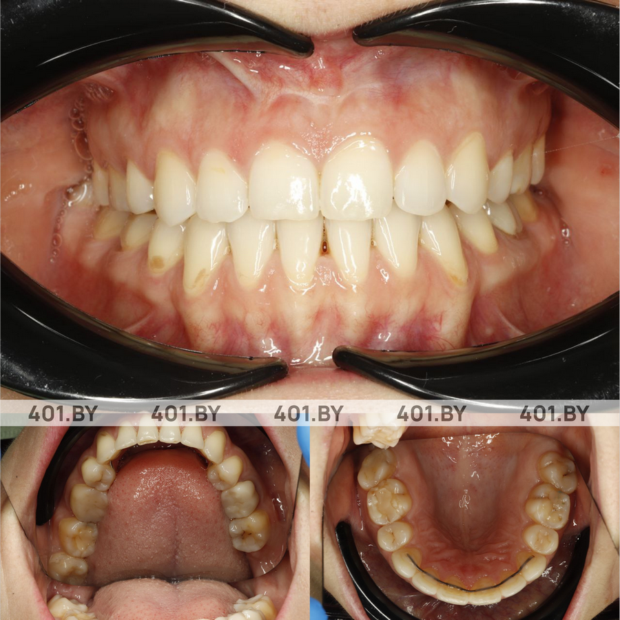
Пациент 32 года с неровным положением зубов и ротацией клыков
Лечение проводил: Михалевич Александра СергеевнаПосмотрите, что говорят пациенты, выбравшие нашу клинику и только что прошедшие лечение
У нас работает принцип “одного окна”, обращаясь к нам вы получаете возможность быстро и удобно получить ответы на интересующие вас вопросы, а также подробный план лечения, вам будет оказана высококвалифицированная помощь от наших врачей и после окончания лечения ваш медицинский координатор не перестанет заботиться о вас.
Отправьте свой снимок (3Д томографию) нам
В течение 1-3 рабочих дней ваш снимок изучат наши врачи и составят подробный план лечения
Отправим вам подробный план лечения и ответим на все вопросы
Предложим удобные для вас даты и время посещения нашей клиники
Предложим вам варианты трансфера, проживания
Поможем в получении визы, если это необходимо
По приезде вам будет назначена очная консультация с вашим врачом, чтобы вы могли подробно обсудить план лечения
Проведем все необходимое лечение в срок; вы получите ценные рекомендации от своего врача
Будем на связи после лечения. За вами будет закреплён индивидуальный медицинский координатор, который будет с вами на связи и сможет дать ответы на все интересующие вас вопросы
Зубной имплант — это современное решение для восстановления утраченных зубов, представляющее собой искусственный корень, который вживляется в костную ткань челюсти. Основной материал для изготовления имплантов — титан или его сплавы, благодаря высокой биосовместимости, прочности и долговечности. После установки имплант интегрируется с костной тканью через процесс, называемый остеоинтеграцией, что обеспечивает надежную фиксацию и стабильность конструкции.
Преимущества зубных имплантов:
- Восстановление полноценной функции жевания и речи.
- Эстетичный внешний вид, максимально приближенный к натуральным зубам.
- Предотвращение разрушения соседних зубов (в отличие от мостов).
- Долговечность и надежность при правильном уходе.
Зубные импланты требуют профессионального ухода и регулярных осмотров у стоматолога для поддержания их состояния. Они являются отличным решением для тех, кто хочет восстановить улыбку без необходимости обтачивания соседних зубов или использования съемных протезов.
Кость — это твердая ткань, которая составляет основу челюстей и служит опорой для зубов. В верхней части рта находится верхняя челюстная кость (максила), а в нижней — нижняя челюстная кость (мандибуля). Эти кости обеспечивают стабильность зубных корней и позволяют им надежно фиксироваться, а также участвуют в формировании лицевого скелета и обеспечивают поддержку мягких тканей. Здоровье костей важно для сохранения прочности и функциональности зубов, а их разрушение может привести к потере зубов и необходимости проведения имплантации или других стоматологических процедур.
Десна — это мягкая ткань, которая покрывает кости челюсти и окружает зубы, образуя защитный барьер вокруг них. Она играет важную роль в поддержании здоровья полости рта, обеспечивая фиксацию зубов и предотвращая проникновение бактерий в более глубокие ткани. Здоровые десны имеют розовый цвет, плотную структуру и не вызывают дискомфорта при пальпации или при чистке зубов. Заболевания десен, такие как гингивит или пародонтит, могут привести к воспалению, кровоточивости и потере зубов.
Абатмент — это специальный соединительный элемент, который служит связующим звеном между имплантатом и протезом. Он представляет собой небольшую металлическую или керамическую конструкцию, которая крепится к установленному в кость имплантату и выступает основой для фиксации коронки, моста или другого протеза.
Зачем нужен абатмент при протезировании на имплантатах?
Основная задача абатмента — обеспечить надежное и стабильное крепление искусственного зуба к имплантату. Он позволяет правильно зафиксировать протез, обеспечить его функциональность и эстетику, а также облегчить последующее обслуживание и возможную замену конструкции. Без этого элемента невозможно правильно установить протез, а также обеспечить его долговечность и комфорт для пациента.
Таким образом, абатмент — это важный компонент системы имплантации, который гарантирует надежность и естественный внешний вид восстановленной улыбки.
Коронка — это искусственный зуб, предназначенный для восстановления утраченных зубов. Она надевается на имплантат и служит для восстановления его формы, функции и эстетики. Коронки позволяют вернуть полноценную жевательную способность, а также создают естественный внешний вид улыбки.
Из каких материалов делают коронки?
Современная стоматология предлагает широкий выбор материалов для изготовления коронок, каждый из которых обладает своими преимуществами:
Металлокерамика — сочетание металлической основы с керамическим покрытием. Обеспечивает прочность и хорошую эстетику, подходит для жевательных зубов.
Цирконий — современный материал, сочетающий прочность металла с высокой эстетикой керамики. Обладает хорошей биосовместимостью и долговечностью. В циркониевых коронках отсутствует метталическое основание.
Коронки из фрезерованной пластмассы — это временные или прототипные конструкции, изготовленные с помощью современного компьютерного моделирования и фрезерных станков из высококачественных пластиковых материалов. Такой тип коронок широко используется в стоматологии для предварительного примерки, а также в качестве временного варианта перед установкой постоянной коронки.
Выбор материала зависит от индивидуальных особенностей пациента, зоны установки и эстетических требований. Важно проконсультироваться со специалистом, чтобы подобрать оптимальный вариант и обеспечить долговечность и естественный внешний вид вашей улыбки.